Smile Gallery
Real Cosmetic Patients with Real Results
Slide Arrows on Image to Reveal Before and After Photos


















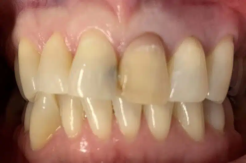
Veneers & Lumineers
Lumineers
Invisalign
Invisalign Progress: 1 year and 3 months later!
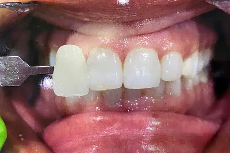
Lumineers
Invisalign
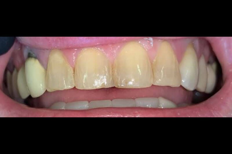
Lumineers
Invisalign
Invisalign
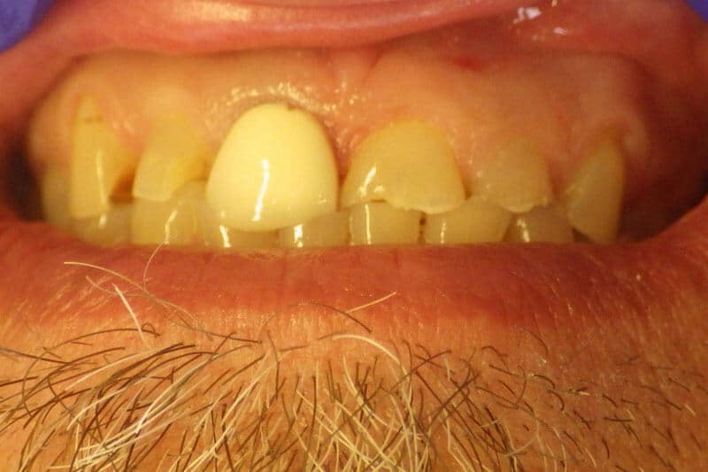
Removal of Mercury Fillings
Removal of Mercury Fillings
Lumineers
Lumineers
Lumineers
Removal of Mercury Fillings
Invisalign Gallery Winner
Hear Our Patients’ Words
Are You Ready to Start Your
Smile Journey?
Have You Been Told You Aren’t an Invisalign® Candidate?
That could be a punch to the gut when you’re told you aren’t an Invisalign® candidate, and the only option is to either go with metal braces or jaw surgery.
That’s too much! Dr. Matthew Walker and Dr. Brian Gosnell understands you don’t want to go through years of inconvenience by (not to mention the pain of) undergoing other methods.
See Real Invisalign® Candidates – Featured in the Invisalign® Gallery Book
What’s standing in the way of your smile?
Problem:
Jaw misalignment
After Invisalign®:
Problem:
After Invisalign®:
Problem:
After Invisalign®:
Problem:
After Invisalign®:
Problem:
After Invisalign®:
Placed Lumineers®
Problem:
After Invisalign®:








